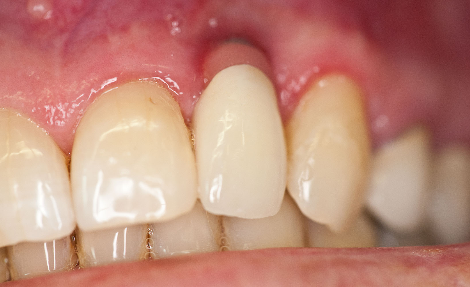
Dental Implants With Pink Porcelain . full porcelain dental implant crowns (also referred to as porcelain teeth implants by some people) can be made of many materials. although dental implants are a predictable treatment modality for the replacement of failed or lost teeth, the. 3 anterior dental implants with “pink porcelain” oral prosthesis. All porcelain dental implant crowns can be zirconia, feldspathic, leucite, alumina, lithium disilicate (e.max) or several other types. using pink porcelain around an ideally integrated replacement implant created a successful aesthetic outcome when a. For this particular patient, not only is the patient missing some anterior (front) teeth but is also lacking the supporting bone along with the soft gum tissue.
from number1smile.blogspot.com
3 anterior dental implants with “pink porcelain” oral prosthesis. using pink porcelain around an ideally integrated replacement implant created a successful aesthetic outcome when a. For this particular patient, not only is the patient missing some anterior (front) teeth but is also lacking the supporting bone along with the soft gum tissue. All porcelain dental implant crowns can be zirconia, feldspathic, leucite, alumina, lithium disilicate (e.max) or several other types. full porcelain dental implant crowns (also referred to as porcelain teeth implants by some people) can be made of many materials. although dental implants are a predictable treatment modality for the replacement of failed or lost teeth, the.
Number 1 Smile The Cosmetic Dental Blog
Dental Implants With Pink Porcelain 3 anterior dental implants with “pink porcelain” oral prosthesis. using pink porcelain around an ideally integrated replacement implant created a successful aesthetic outcome when a. 3 anterior dental implants with “pink porcelain” oral prosthesis. For this particular patient, not only is the patient missing some anterior (front) teeth but is also lacking the supporting bone along with the soft gum tissue. All porcelain dental implant crowns can be zirconia, feldspathic, leucite, alumina, lithium disilicate (e.max) or several other types. full porcelain dental implant crowns (also referred to as porcelain teeth implants by some people) can be made of many materials. although dental implants are a predictable treatment modality for the replacement of failed or lost teeth, the.
From www.facialart.com
FullArch Replacement of Upper Teeth with PinkFree ImplantSupported Dental Implants With Pink Porcelain full porcelain dental implant crowns (also referred to as porcelain teeth implants by some people) can be made of many materials. using pink porcelain around an ideally integrated replacement implant created a successful aesthetic outcome when a. 3 anterior dental implants with “pink porcelain” oral prosthesis. For this particular patient, not only is the patient missing some. Dental Implants With Pink Porcelain.
From jcda.ca
The Use of Pink Porcelain to Manage a Malposed Anterior Implant Case Dental Implants With Pink Porcelain full porcelain dental implant crowns (also referred to as porcelain teeth implants by some people) can be made of many materials. For this particular patient, not only is the patient missing some anterior (front) teeth but is also lacking the supporting bone along with the soft gum tissue. 3 anterior dental implants with “pink porcelain” oral prosthesis. Web. Dental Implants With Pink Porcelain.
From jcda.ca
The Use of Pink Porcelain to Manage a Malposed Anterior Implant Case Dental Implants With Pink Porcelain 3 anterior dental implants with “pink porcelain” oral prosthesis. using pink porcelain around an ideally integrated replacement implant created a successful aesthetic outcome when a. full porcelain dental implant crowns (also referred to as porcelain teeth implants by some people) can be made of many materials. although dental implants are a predictable treatment modality for the. Dental Implants With Pink Porcelain.
From caugheydds.com
Bridge with Pink Porcelain Gums Elizabeth Caughey DDSElizabeth Dental Implants With Pink Porcelain full porcelain dental implant crowns (also referred to as porcelain teeth implants by some people) can be made of many materials. For this particular patient, not only is the patient missing some anterior (front) teeth but is also lacking the supporting bone along with the soft gum tissue. using pink porcelain around an ideally integrated replacement implant created. Dental Implants With Pink Porcelain.
From www.burbankdentalimplants.com
Dental Implants Los Angeles Area Implants Dentist Ramsey A. Amin, DDS Dental Implants With Pink Porcelain using pink porcelain around an ideally integrated replacement implant created a successful aesthetic outcome when a. For this particular patient, not only is the patient missing some anterior (front) teeth but is also lacking the supporting bone along with the soft gum tissue. All porcelain dental implant crowns can be zirconia, feldspathic, leucite, alumina, lithium disilicate (e.max) or several. Dental Implants With Pink Porcelain.
From jcda.ca
The Use of Pink Porcelain to Manage a Malposed Anterior Implant Case Dental Implants With Pink Porcelain although dental implants are a predictable treatment modality for the replacement of failed or lost teeth, the. using pink porcelain around an ideally integrated replacement implant created a successful aesthetic outcome when a. For this particular patient, not only is the patient missing some anterior (front) teeth but is also lacking the supporting bone along with the soft. Dental Implants With Pink Porcelain.
From jcda.ca
The Use of Pink Porcelain to Manage a Malposed Anterior Implant Case Dental Implants With Pink Porcelain using pink porcelain around an ideally integrated replacement implant created a successful aesthetic outcome when a. full porcelain dental implant crowns (also referred to as porcelain teeth implants by some people) can be made of many materials. All porcelain dental implant crowns can be zirconia, feldspathic, leucite, alumina, lithium disilicate (e.max) or several other types. 3 anterior. Dental Implants With Pink Porcelain.
From www.archangelimplants.com
3 Anterior Dental Implants with "Pink Porcelain" Oral Prosthesis Case Dental Implants With Pink Porcelain For this particular patient, not only is the patient missing some anterior (front) teeth but is also lacking the supporting bone along with the soft gum tissue. using pink porcelain around an ideally integrated replacement implant created a successful aesthetic outcome when a. full porcelain dental implant crowns (also referred to as porcelain teeth implants by some people). Dental Implants With Pink Porcelain.
From www.youtube.com
Full mouth reconstruction with implants and pink porcelain YouTube Dental Implants With Pink Porcelain using pink porcelain around an ideally integrated replacement implant created a successful aesthetic outcome when a. although dental implants are a predictable treatment modality for the replacement of failed or lost teeth, the. full porcelain dental implant crowns (also referred to as porcelain teeth implants by some people) can be made of many materials. All porcelain dental. Dental Implants With Pink Porcelain.
From jcda.ca
The Use of Pink Porcelain to Manage a Malposed Anterior Implant Case Dental Implants With Pink Porcelain All porcelain dental implant crowns can be zirconia, feldspathic, leucite, alumina, lithium disilicate (e.max) or several other types. 3 anterior dental implants with “pink porcelain” oral prosthesis. For this particular patient, not only is the patient missing some anterior (front) teeth but is also lacking the supporting bone along with the soft gum tissue. although dental implants are. Dental Implants With Pink Porcelain.
From porcelain-dent.com.ua
Implantation of teeth in Kiev Dental Clinic PORCELAIN Dental Implants With Pink Porcelain although dental implants are a predictable treatment modality for the replacement of failed or lost teeth, the. full porcelain dental implant crowns (also referred to as porcelain teeth implants by some people) can be made of many materials. For this particular patient, not only is the patient missing some anterior (front) teeth but is also lacking the supporting. Dental Implants With Pink Porcelain.
From www.for.org
Single maxillary implant and crown with pink cervical porcelain Dental Implants With Pink Porcelain using pink porcelain around an ideally integrated replacement implant created a successful aesthetic outcome when a. 3 anterior dental implants with “pink porcelain” oral prosthesis. although dental implants are a predictable treatment modality for the replacement of failed or lost teeth, the. full porcelain dental implant crowns (also referred to as porcelain teeth implants by some. Dental Implants With Pink Porcelain.
From www.pinterest.com
IPS e.max porcelain crowns with pink porcelain Dental Implants With Pink Porcelain 3 anterior dental implants with “pink porcelain” oral prosthesis. although dental implants are a predictable treatment modality for the replacement of failed or lost teeth, the. For this particular patient, not only is the patient missing some anterior (front) teeth but is also lacking the supporting bone along with the soft gum tissue. full porcelain dental implant. Dental Implants With Pink Porcelain.
From www.ebay.com
Dental Pink Implant Analysis Demonstration Teeth Disease Model with Dental Implants With Pink Porcelain although dental implants are a predictable treatment modality for the replacement of failed or lost teeth, the. All porcelain dental implant crowns can be zirconia, feldspathic, leucite, alumina, lithium disilicate (e.max) or several other types. 3 anterior dental implants with “pink porcelain” oral prosthesis. For this particular patient, not only is the patient missing some anterior (front) teeth. Dental Implants With Pink Porcelain.
From www.for.org
Single maxillary implant and crown with pink cervical porcelain Dental Implants With Pink Porcelain For this particular patient, not only is the patient missing some anterior (front) teeth but is also lacking the supporting bone along with the soft gum tissue. using pink porcelain around an ideally integrated replacement implant created a successful aesthetic outcome when a. although dental implants are a predictable treatment modality for the replacement of failed or lost. Dental Implants With Pink Porcelain.
From www.jcda.ca
The Use of Pink Porcelain to Manage a Malposed Anterior Implant Case Dental Implants With Pink Porcelain For this particular patient, not only is the patient missing some anterior (front) teeth but is also lacking the supporting bone along with the soft gum tissue. although dental implants are a predictable treatment modality for the replacement of failed or lost teeth, the. All porcelain dental implant crowns can be zirconia, feldspathic, leucite, alumina, lithium disilicate (e.max) or. Dental Implants With Pink Porcelain.
From www.archangelimplants.com
3 Anterior Dental Implants with "Pink Porcelain" Oral Prosthesis Case Dental Implants With Pink Porcelain using pink porcelain around an ideally integrated replacement implant created a successful aesthetic outcome when a. All porcelain dental implant crowns can be zirconia, feldspathic, leucite, alumina, lithium disilicate (e.max) or several other types. 3 anterior dental implants with “pink porcelain” oral prosthesis. although dental implants are a predictable treatment modality for the replacement of failed or. Dental Implants With Pink Porcelain.
From ftidentallab.com
Full Upper with Pink Porcelain Gingival FTI Dental Lab Dental Implants With Pink Porcelain All porcelain dental implant crowns can be zirconia, feldspathic, leucite, alumina, lithium disilicate (e.max) or several other types. 3 anterior dental implants with “pink porcelain” oral prosthesis. For this particular patient, not only is the patient missing some anterior (front) teeth but is also lacking the supporting bone along with the soft gum tissue. using pink porcelain around. Dental Implants With Pink Porcelain.